Новый век 2
НОВОСТИ ДНЯ

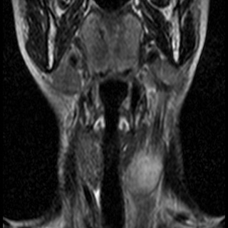
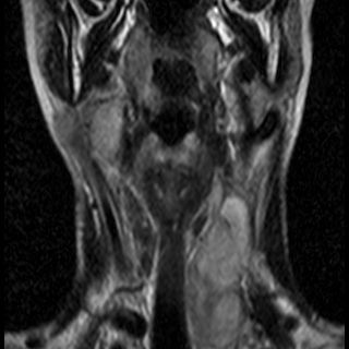
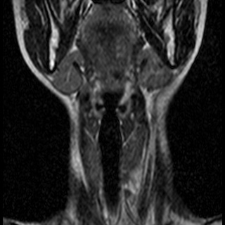
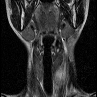
Невринома множественная шейного отдела с врастанием в спинно-мозговой канал

Сообщение опубликовал пользователь Виктория
31.03.2020 в 15:01

Здравствуйте! Мне 27 лет. Я стала жаловаться на головокружение, головные боли, пульсирование в голове. После исследования мрт выявилась следующая патология . Документы предоставляю. Можете ли Вы помочь в этой патологии? Как попасть к Вам на консультацию, учитывая эпидемиологическую обстановку? Спасибо.

 

 

Новиков Александр Геннадьевич
Новиков
Александр Геннадьевич

Заведующий отделением нейрохирургии ГУЗ "Областная клиническая больница"

Опубликовать сообщение

Обратите внимание, что все данные на персональных страницах предоставлены самими персонами либо взяты из открытых источников, если явно не указано иное.

Если вы обнаружили ошибку или неточность, пожалуйста, сообщите об этом в редакцию.

Энгельсский металл
ВАЖНО:
АНОНСЫ
© Социально-информационный портал «Лица», 2009 – 2026
Письмо в редакцию         24.04.2026
0.74554491043091