Новый век 1
НОВОСТИ ДНЯ
НОВОСТИ

ФГБУ «Саратовская межобластная ветеринарная лаборатория» проводит исследования на трихинеллез

22.07.2020, 16:10
Поделитесь с друзьями:

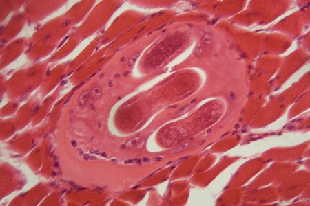
С начала текущего года в рамках проведения государственного задания с закрепленной зоны обслуживания лаборатории в отдел бактериологии паразитологии и микологии ФГБУ «Саратовская МВЛ» для исследования на трихинеллез поступило 45 проб материала от свиней. В результате исследования возбудитель трихинеллёза не обнаружен.   Трихинеллез – остро или хронически протекающее антропозоонозное инвазионное заболевание. Трихинеллезом болеют свиньи, кабаны, медведи, плотоядные (собаки, волки, лисы) и другие животные. Основные источники заражения свиней – недостаточно проваренные кухонные мясные отходы, пораженные личинками трихинелл, туши диких животных, трупы кошек, собак и крыс. Диагноз на трихинеллез ставят на основании результатов лабораторных исследований. Для исследования отбираются пробы из ножек диафрагмы (на границе перехода мышечной ткани и сухожилие), при их отсутствии- части межреберных, шейных, жевательных, поясничных, икроножных мышц, сгибателей и разгибателей пясти, а также мышцы языка, пищевода и гортани.Отдел бактериологии, паразитологии и микологии ФГБУ «Саратовская МВЛ» проводит исследования на трихинеллез животных.По вопросам диагностики обращайтесь по адресу: г. Саратов, ул. им. Ф.А. Блинова, д. № 13; тел. (8452) 744-726,ФГБУ «Саратовская межобластная ветеринарная лаборатория»

 

 

ПОСЛЕДНИЕ НОВОСТИ
ВАЖНО:
АНОНСЫ
© Социально-информационный портал «Лица», 2009 – 2026
Письмо в редакцию         16.04.2026
0.26126599311829